Your Lung Health

We Provide The Highest Quality Respiratory Medical Care with Pioneering New Treatments

Specialist in Lung Disease

We diagnose & treat all aspects of lung disease with a particular interest in Bronchoscopy, Lung Cancer, COPD, & Asthma. We are experienced in managing complex and rare conditions.

Specialist

Professor Pallav Shah is a specialist with over 20 years of expertise in all aspects of respiratory disease. He has a particular interest in Bronchoscopy, Lung Cancer, COPD, & Asthma. He is experienced in managing complex and rare conditions.

Advanced Diagnostics

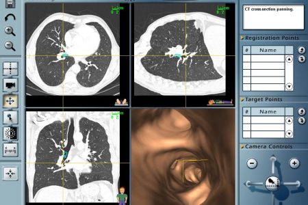
Access to the latest CT & PET Scanners. He also performs Advanced Diagnostic Procedures with the latest bronchoscope equipment. Procedures include EBUS (endobronchial ultrasound), navigation bronchoscopy and Cryobiopsies of the Lung

Novel Treatments

Bronchoscopic Lung Volume Reduction for Emphysema with Zephyr Endobronchial Valves, Endobronchial Coils, & Vapor treatment. Bronchial thermoplasty for Asthma. Targeted lung Denervation for COPD & Epithelial Re-Surfacing for Bronchitis.

devonshire-street-1.jpg
16 Devonshire Street

Consulting Rooms

  • OneWelbeck
  • Royal Brompton Hospital (Sydney Street)
  • 77 Wimpole Street
  • 16 Devonshire Street
  • King Edward VII Hospital

rbh-south-block-3.jpg
South Block Royal Brompton Hospital

Hospitals

  • South Block: Royal Brompton Hospital
  • Harley Street Clinic
  • King Edward VII Hospital

20050304_Screen9.jpg
SuperDimension Console

Procedures

  • EndoBronchial Ultrasound (EBUS)
  • Bronchoscopy
  • Navigation Bronchsocopy
  • Bronchial Thermoplasty
  • Lung Volume Reduction
  • Cryotherapy

OFFICE

OneWelbeck Clinic, 1 Welbeck Street London W1G 0AR

Call us

+44 (0) 203 137 2584

admin@pallavshah.co.uk